Broken Fibula

2rocky

Well-known member
Joined
Jul 23, 2010
Messages
5,274
Location
Western Wanderer
On Sunday I stepped off my horse wrong after roping a run back calf in the morning and sprained my ankle good. Worked the rest of the day on horseback and ran the ancient squeeze chute for 48 head. Drove home 2 hours and made a doctor appointment at urgent care on Monday.

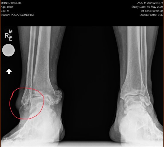
Well after a quick exam and in house X-rays they showed me a spiral fracture just above the distal end of the fibula.
Got an orthopedic appointment next week and a new walking boot. This is the first time I’ve ever been on crutches in my 51 years.

IMG_5912.jpeg
Well now what? Any thoughts from others who have dealt with this?
 
I broke mine about 20 years ago. I was in my 30's. I had screws and a plate installed. I was in a cast for 8 weeks, then 4 weeks in a walking boot. It was may when i broke mine. I was very limited in hunting the following fall. By the following spring, I was back to new. It still aches when storms move in.

Jim
 
I broke Fibula skiing at Big Sky almost 38 years ago. Stubborn, I skied down the backside after yard sale crash, took lift up and skied down front side and headed to emergency. Mine was more of horizontal break..6 weeks in a cast. Good as new.
That spiral looks worse.
 
  • Like
Reactions: JCS
Had a major sprain and minor break of the distal fibula in July. Your break looks more severe than mine, but the sprain has been more problematic. Ankle ligaments operated like a slinky for about 4 months before they started getting some stability back. I'm making solid progress finally though. Just immobilization for me.

Injury happened on a Monday and I flew to Belize for my honeymoon on Friday. I was back to work 2 weeks later in my tall Crispis.
 
Busted mine about 20 years ago. Best thing you can do is watch your weight. It’s easy to pack on some pounds with a busted leg and it makes the recovery worse if you do.
 
I’ve broken both of mine playing hockey. Left was about midway up, minor spiral fracture from crashing into the boards in an awkward position. That one healed up pretty easily.

Right was from a puck impact that broke the end completely off. That ankle already had major issues and has now been completely replaced. Recovery from that has been quite a bit more challenging.

IMG_0511.jpegIMG_0512.jpeg
 
Last edited:

Forum statistics

Threads
117,731
Messages
2,166,446
Members
38,331
Latest member
coleL
Back
Top