2rocky
Well-known member
On Sunday I stepped off my horse wrong after roping a run back calf in the morning and sprained my ankle good. Worked the rest of the day on horseback and ran the ancient squeeze chute for 48 head. Drove home 2 hours and made a doctor appointment at urgent care on Monday.
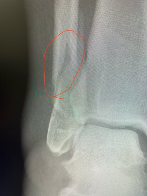
Well after a quick exam and in house X-rays they showed me a spiral fracture just above the distal end of the fibula.
Got an orthopedic appointment next week and a new walking boot. This is the first time I’ve ever been on crutches in my 51 years.

Well now what? Any thoughts from others who have dealt with this?
Well after a quick exam and in house X-rays they showed me a spiral fracture just above the distal end of the fibula.
Got an orthopedic appointment next week and a new walking boot. This is the first time I’ve ever been on crutches in my 51 years.

Well now what? Any thoughts from others who have dealt with this?